
SmartVeneer® là phương pháp đạt hiệu quả thẩm mỹ vượt trội hoàn toàn có thể song hành cùng sự an toàn dành cho sức khỏe dài lâu của bạn.

Mỗi miếng dán SmartVeneer được thiết kế bằng phần mềm mô phỏng chuyên dụng, đảm bảo chuẩn hình thể khớp cắn hoàn hảo. Công nghệ CNC cắt ướt tạo nên bề mặt mịn, khít, bền và tự nhiên như răng thật. Bề mặt trong được xử lý bằng công nghệ độc quyền giúp tăng độ bám dính gấp 30 lần, được Viện Khoa học Vật liệu – Viện Hàn lâm KH&CN Việt Nam kiểm nghiệm và bảo hộ sáng chế.
Sản phẩm được chế tác bởi đội ngũ kỹ thuật viên chuyên nghiệp, theo quy trình tiêu chuẩn nghiêm ngặt của Detec Dental Lab.



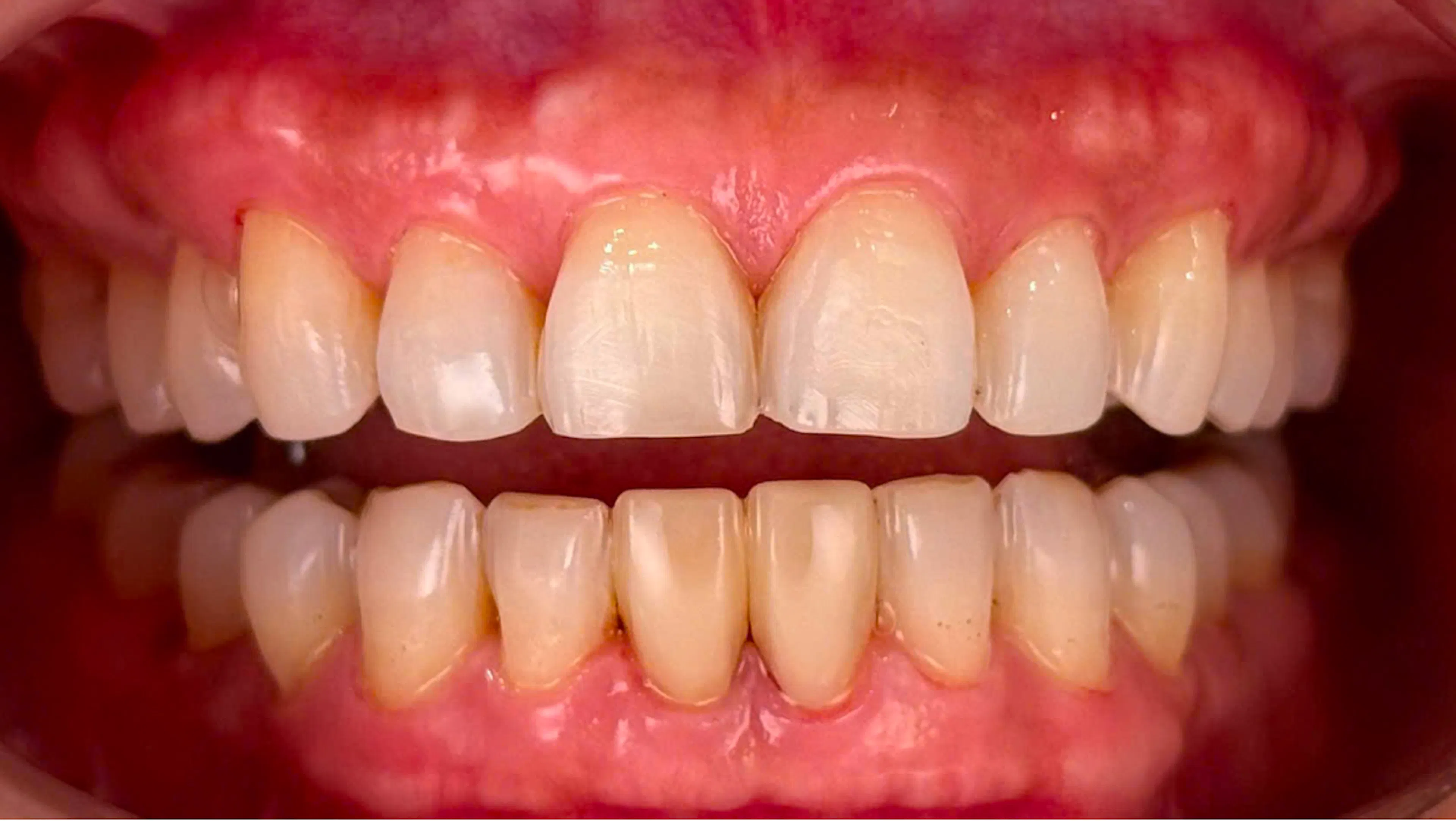
Phương pháp: Dán sứ sinh học SmartVeneer®.
Dòng Veneer: Pearl | 20 chiếc.


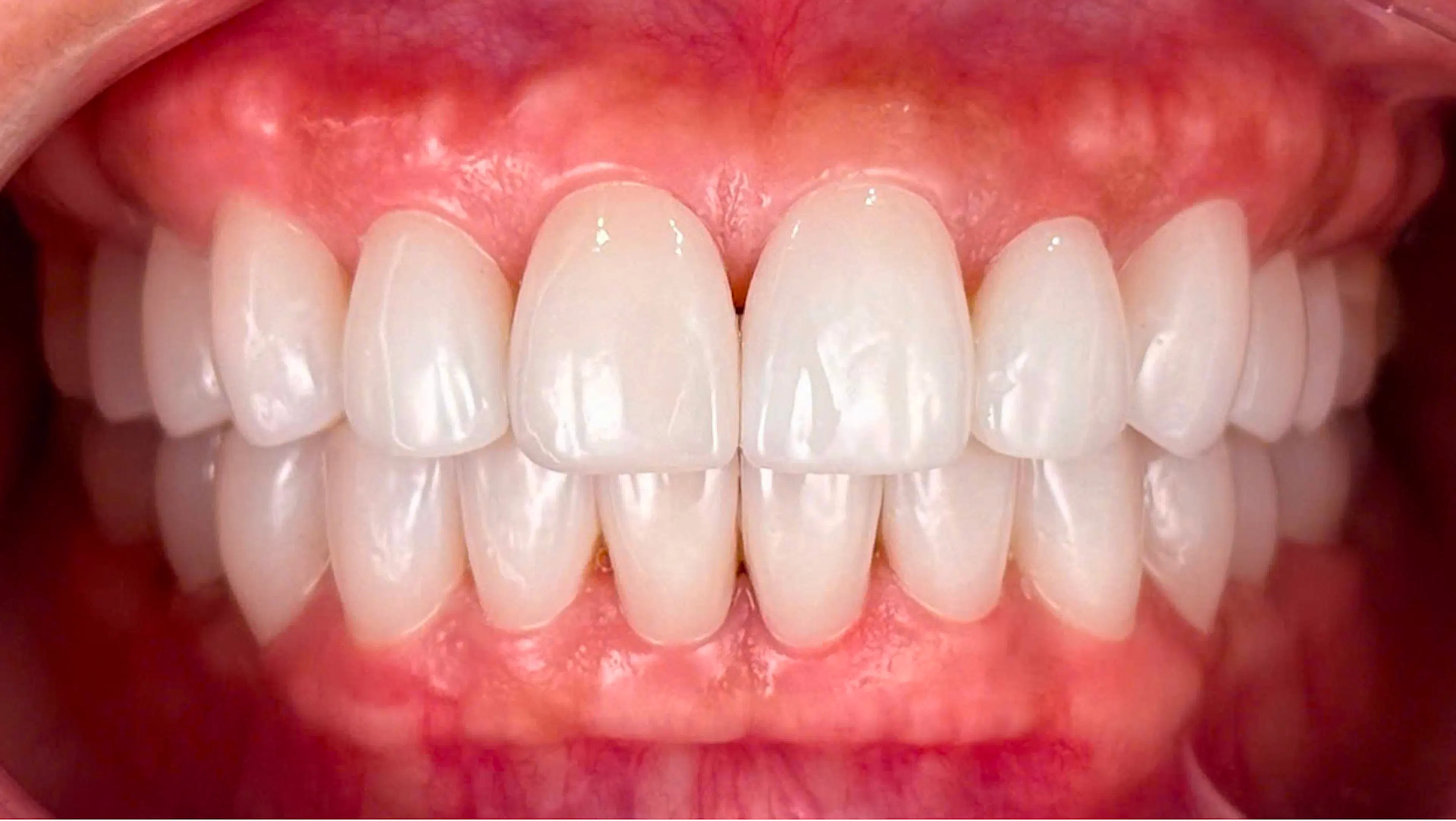
Phương pháp: Dán sứ sinh học SmartVeneer®.
Dòng Veneer: Pearl | 20 chiếc.


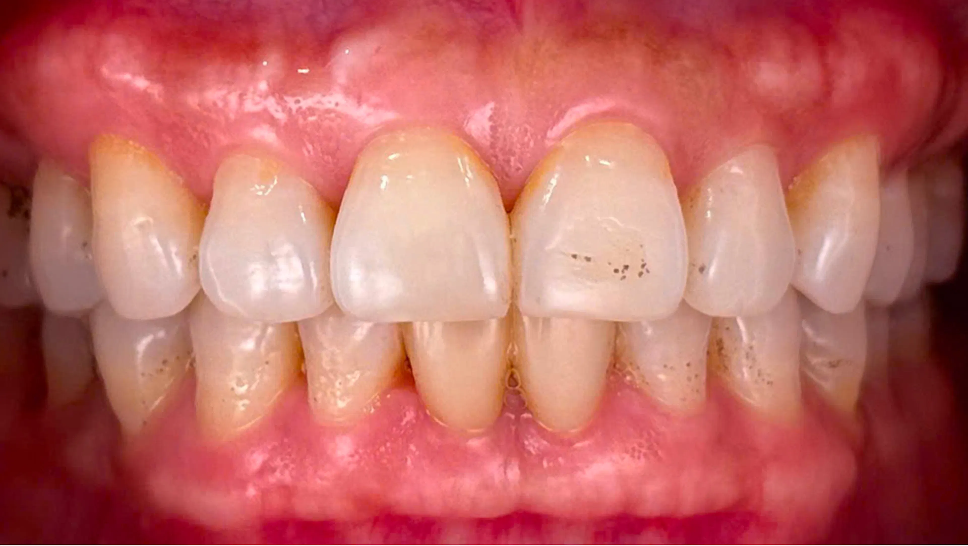
Phương pháp: Dán sứ sinh học SmartVeneer®.
Dòng Veneer: Pearl | 20 chiếc.


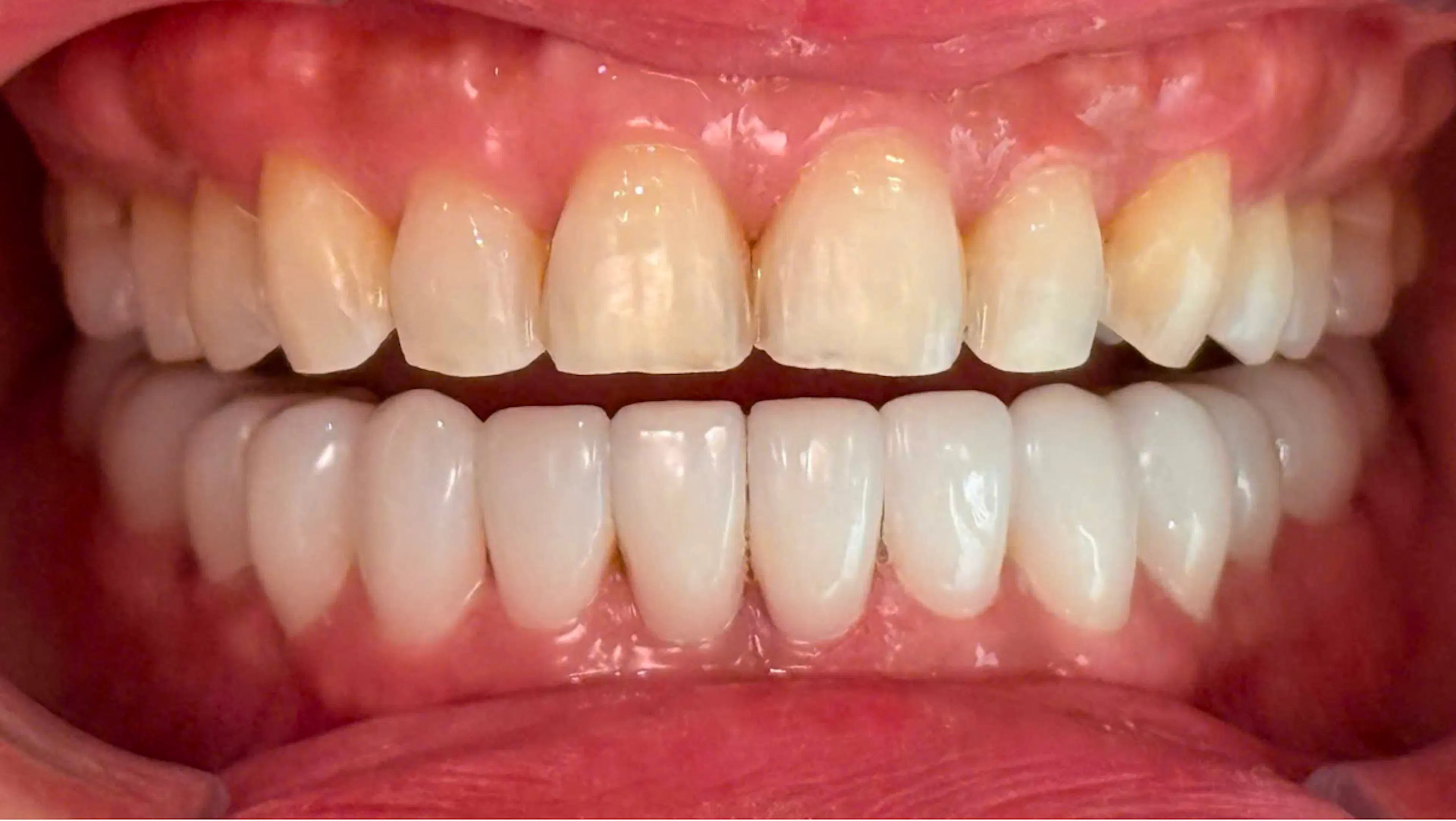
Phương pháp: Dán sứ sinh học SmartVeneer®.
Dòng Veneer: Pearl | 20 chiếc.


Phương pháp: Dán sứ sinh học SmartVeneer®.
Dòng Veneer: Pearl | 20 chiếc.


Phương pháp: Dán sứ sinh học SmartVeneer®.
Dòng Veneer: Pearl | 20 chiếc.
