
Khi răng hàm bị tổn thương, chụp sứ chính là một trong những phương pháp thường xuyên được lựa chọn giúp bảo vệ răng thật đồng thời khôi phục tính thẩm mỹ và khả năng ăn nhai hiệu quả.

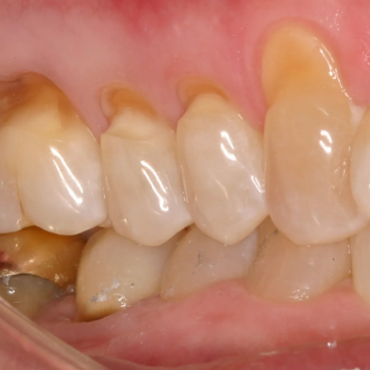
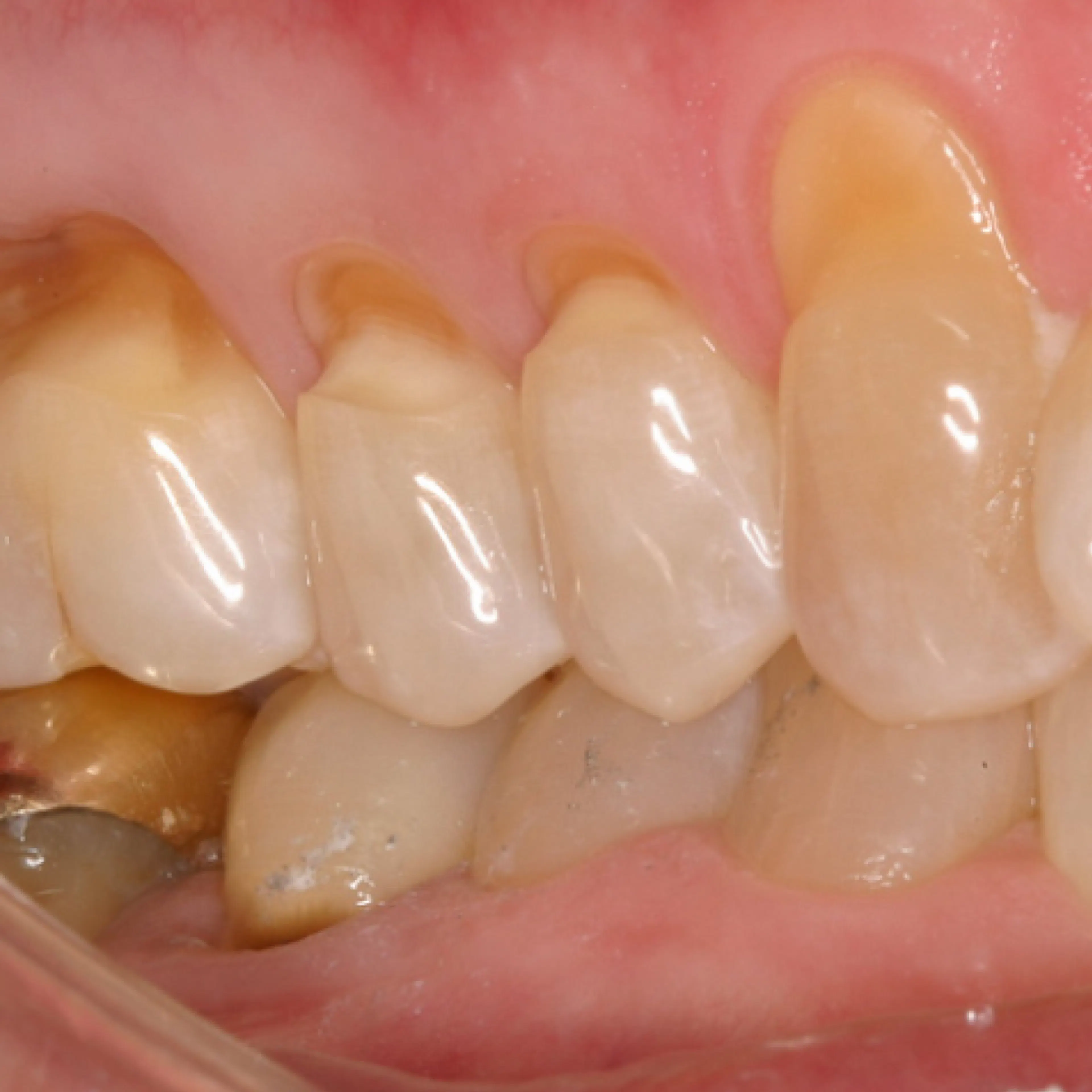
Chụp sứ răng hàm là một kỹ thuật nha khoa nhằm bảo vệ và phục hình răng hàm bị tổn thương, mang lại hiệu quả tối ưu và không gây ảnh hưởng tới cả hàm răng.
Phương pháp này bao gồm việc mài đi một phần nhỏ men răng thật để tạo thành một cùi răng, sau đó một mão răng sứ được thiết kế riêng với màu sắc tự nhiên và chất liệu đặc biệt sẽ được gắn cố định lên trên cùi răng đó. Mão răng sứ đóng vai trò như một "chiếc mũ" bảo vệ, ôm trọn và che phủ toàn bộ phần răng thật còn lại.

Răng sau khi điều trị tủy trở yếu và dễ vỡ. Chụp sứ giúp bảo vệ răng khỏi các tác động bên ngoài, ngăn ngừa nứt vỡ và kéo dài tuổi thọ của răng.

Khi miếng trám không đủ khả năng phục hồi hoặc răng đã mất đi quá nhiều mô răng.

Do thói quen chải răng sai cách hoặc nghiến răng, khiến răng nhạy cảm và dễ bị sâu.

Khi mất một hoặc nhiều răng nhưng vẫn còn răng kế cận, chụp sứ có thể được sử dụng để làm trụ cho cầu răng, thay thế răng bị mất.

Bác sĩ sẽ kiểm tra tổng thể tình trạng răng miệng, chụp X-quang để đánh giá, sau đó sẽ tư vấn và lên kế hoạch điều trị chi tiết.

Răng miệng sẽ được vệ sinh sạch sẽ. Nếu răng có bệnh lý bác sĩ sẽ tiến hành điều trị dứt điểm trước khi bọc sứ.

Bác sĩ sẽ gây tê tại chỗ. Sau đó, một lượng nhỏ men răng thật sẽ được mài đi để tạo hình cùi răng, đủ không gian cho mão sứ bọc bên ngoài.

Bác sĩ sẽ lấy dấu cùi răng và dấu hàm để gửi về phòng Labo chế tác mão sứ. Bạn sẽ được gắn một răng tạm bằng nhựa để đảm bảo thẩm mỹ.

Khi mão sứ đã được chế tác xong, bác sĩ sẽ thử răng và kiểm tra độ khít sát, màu sắc, hình dáng và khớp cắn.

Sau khi bọc sứ, bạn cần tuân thủ lịch tái khám định kỳ (thường là 6 tháng/lần) để kiểm tra tình trạng răng sứ và sức khỏe răng miệng tổng thể.

Răng hàm bị tổn thương nghiêm trọng do sâu, bệnh lý hay vỡ lớn thường khiến nhiều người nghĩ ngay đến việc nhổ bỏ. Tuy nhiên, tại Dentisan, chúng tôi mang đến một giải pháp tối ưu và hiệu quả hơn hẳn: chụp sứ răng hàm.
Thay vì nhổ bỏ và để lại khoảng trống gây tiêu xương, chụp sứ giúp bảo tồn tối đa răng thật của bạn. Phương pháp này không chỉ khắc phục nhanh chóng các vấn đề về răng hỏng, có bệnh lý mà còn mang lại hiệu quả thẩm mỹ và chức năng ăn nhai lâu dài, bền vững.
Hãy liên hệ với Dentisan Lab ngay hôm nay để được tư vấn cũng như đặt lịch kiểm tra răng MIỄN PHÍ trong thời gian sớm nhất.

